目黒区祐天寺のアクアデンタルクリニック院長の仁藤博之です。
当医院では重度の八重歯&叢生(ガタガタ)でも非抜歯(親知らずのみ抜歯)で矯正治療が可能です。
非抜歯で矯正をすると「前歯が開咬オープンバイトや出っ歯になってしまう」と他医院で言われたけれど、そもそも歯を抜きたくないということで当医院にセカンドオピニオンを求めて国内から多くの方が来院されます
しかし当医院にて矯正治療を終えられて、治療前よりも前歯が開咬オープンバイトになったり、飛び出すことはありませんし(前歯が引っ込み過ぎているので逆に前に出した場合は別)、ほぼ全ての方に満足頂いております。
口元の見た目は患者さんの主観によりますので、全ての方が満足するわけではありません。しかし、ほぼすべての方に満足頂いております。
八重歯&ガタガタ治療のメソッドに関してはこちらをご覧ください。
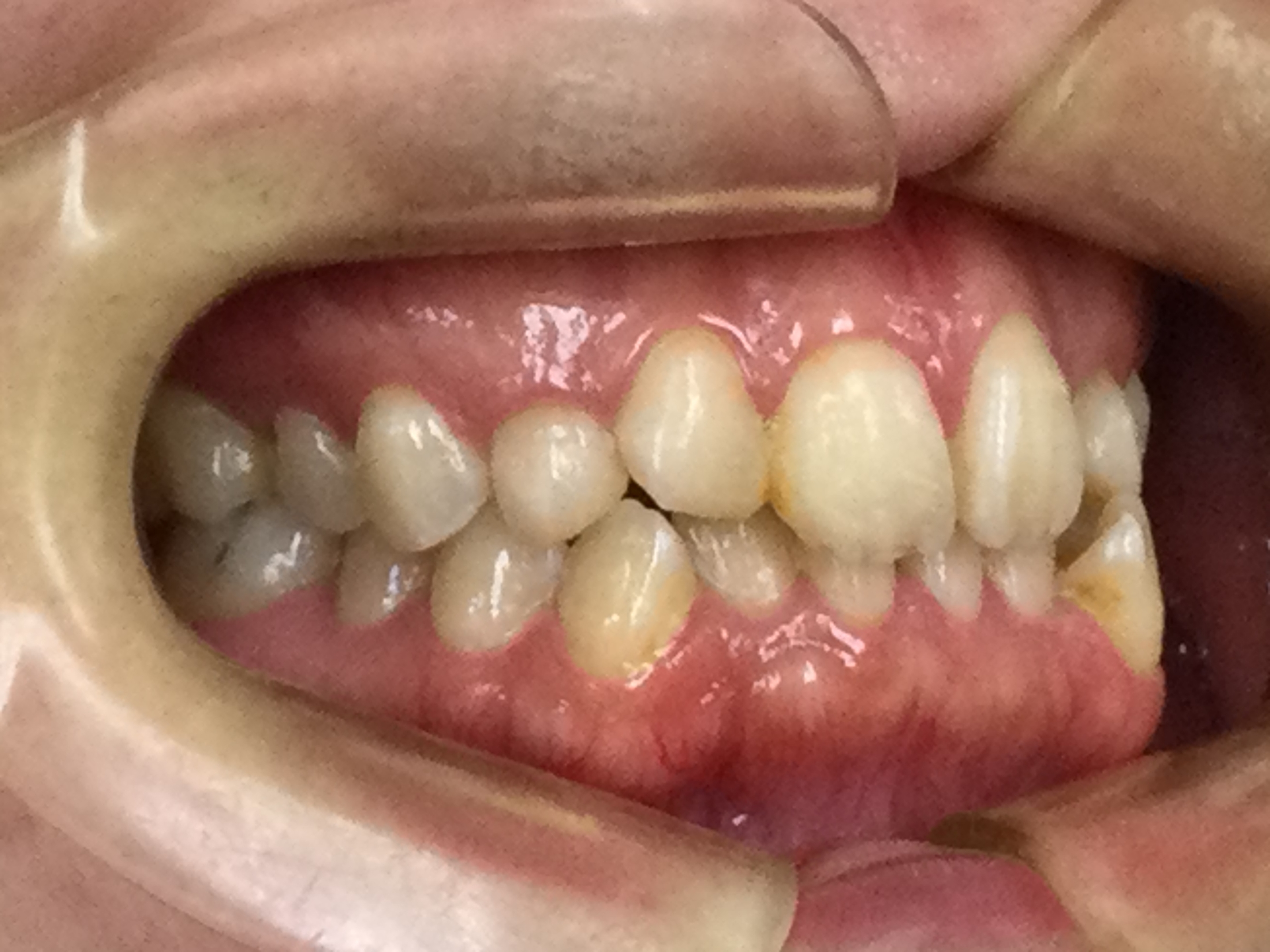
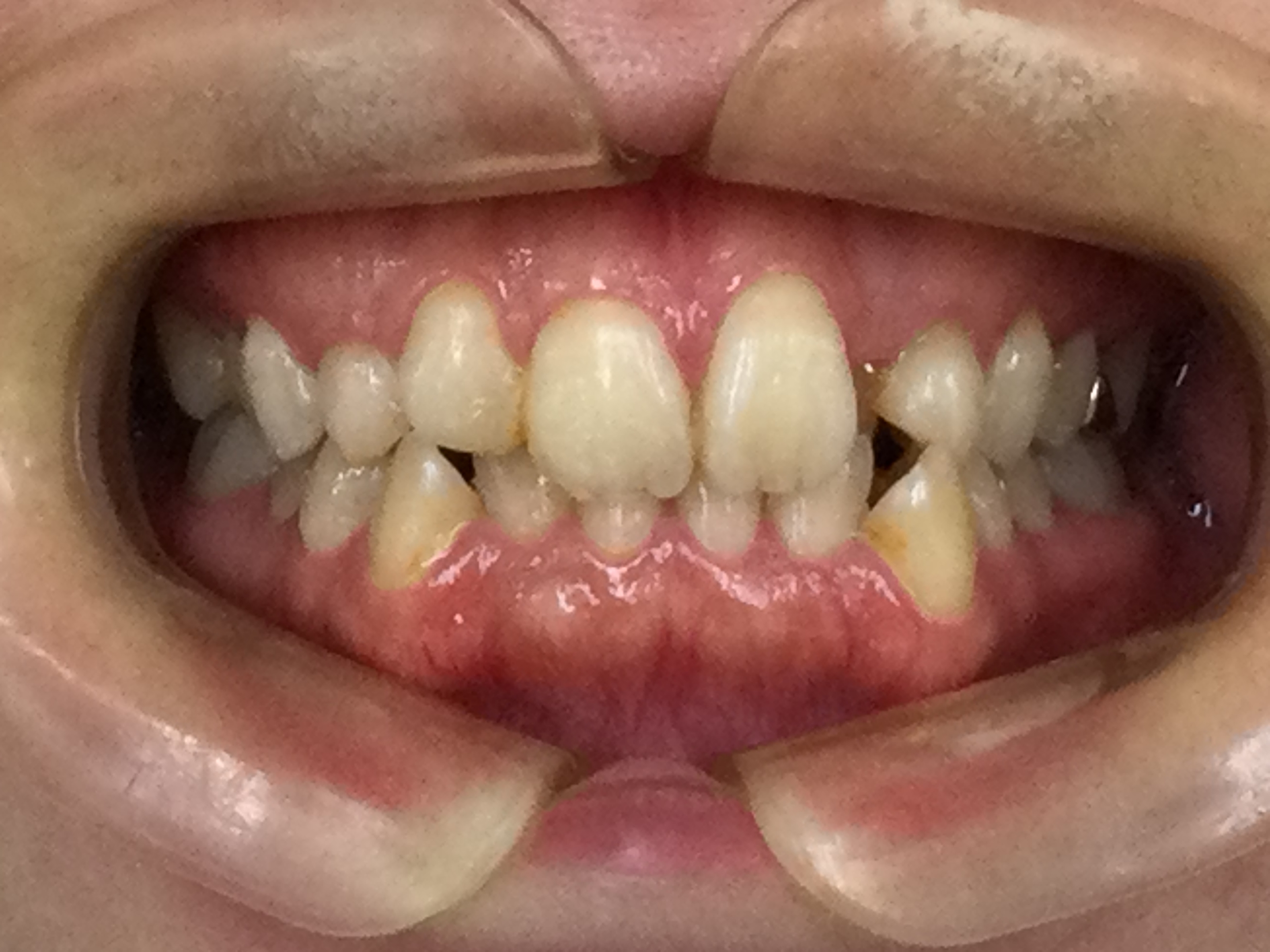
【主訴】20代女性: 八重歯とガタガタを抜歯しないで出来るだけ綺麗にしたい。他の矯正相談に行ったが小臼歯抜歯しないと治せない、抜歯しないと口元がだいぶ出てしまうと言われた。
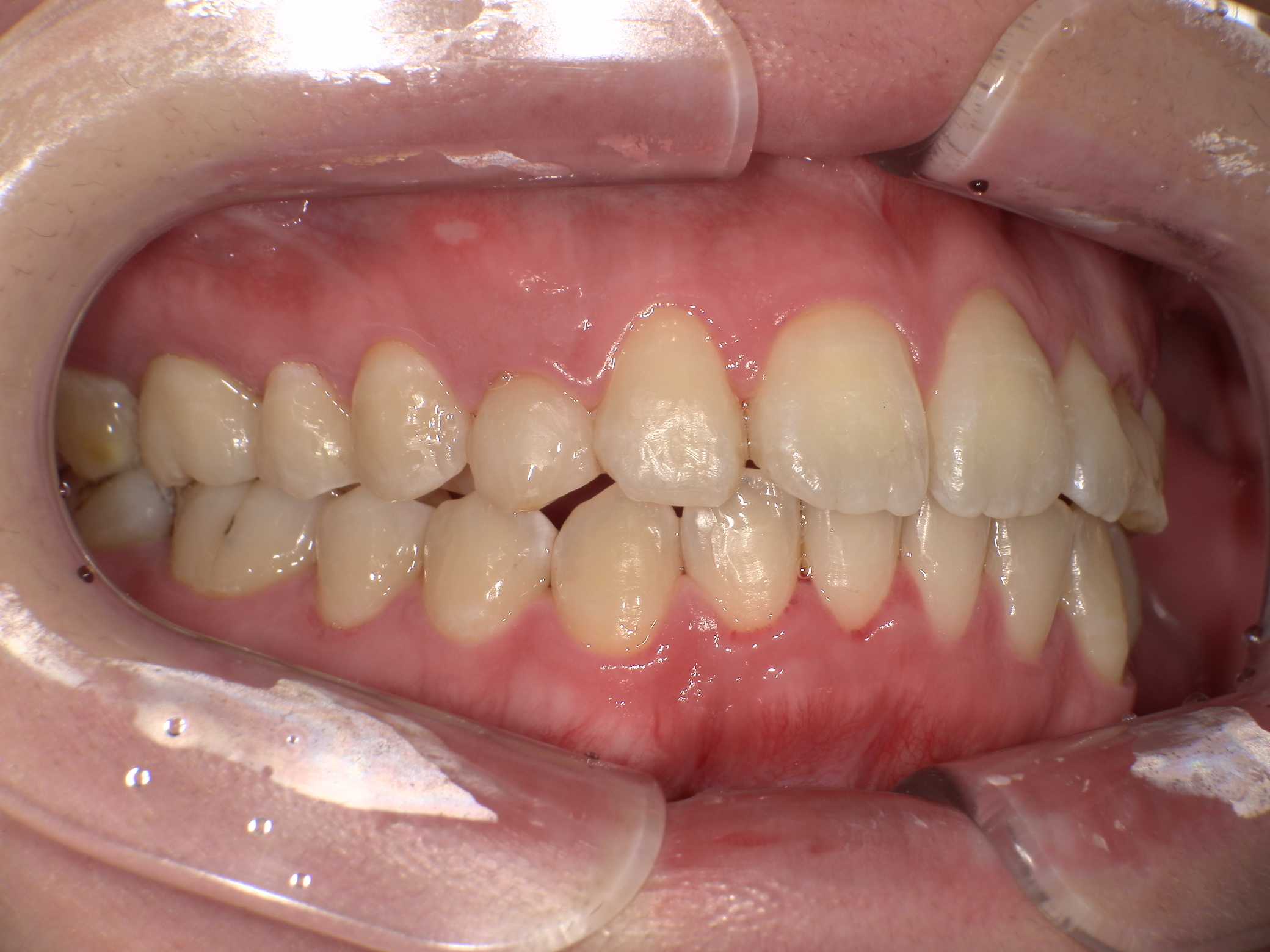
【治療方法】新素材ゴムメタルを使用したGEAW(ギア)システム用い、小臼歯抜歯なしで治療を行いました。
【治療期間】1年3か月
【治療後】抜歯無しで綺麗に治ったので、とても満足との言葉を頂きました。
【治療費用】診査・診断およびリテーナー(後戻り防止装置)も入れて:約110万円
【治療に伴うリスク】1日20時間以上顎間ゴムの使用などの患者さんの協力が必要です。 歯の移動に伴う痛みや口内炎などがあります。 矯正期間中は虫歯、歯周病のリスクが高くなります。歯の移動に伴う歯肉退縮や歯根吸収が起こる事があります。
※症例は当医院の一例です。治療内容には個人差がありますので詳しくはご相談ください。
【矯正前】
【矯正後】
*開咬(オープンバイト)でお悩みの方、
*他医院や大学病院で第一小臼歯抜歯が必要と言われた方、
*他医院や大学病院で外科手術が必要と言われた重度の受け口の方、
*他医院や大学病院で難しいと言われた難症例の方、
まずは一度ご相談ください。
東京都目黒区祐天寺 アクアデンタルクリニック TEL 03-3713-4443





