一般的に、顎の横ずれ(上下の歯の真ん中がずれている)を伴う受け口のことを顎変形症と言います。下顎の大きさの左右差があるため、一般的には外科手術しないと上下の真ん中が一致しないとされてきました。
しかし、上下の真ん中の不一致は顎の骨の左右差だけではなく左右の奥歯の高さの違いによっても顎がずれたために起きることがあるのです。
つまり左右の奥歯の高さを整える事で、顎の位置が変わり上下の真ん中が合ってくるのです。
外科手術をしないので見た目は大きく変わりませんが、きちんと噛めるという目的は達成することが出来ます。お顔の見た目を優先する場合は、外科手術が必要となりますが、外科手術をしないという選択肢もあるのです。
また近年、外科手術による麻痺などの後遺症や様々なトラブルが急増しています。そして何よりも外科手術に抵抗がある、仕事上入院が出来ないなど、多くの人が外科手術を敬遠しているのが実感できます。
不思議なことに、きちんと噛めるという機能面を達成すれば、見た目が大きく変わらなくとも
「周りから顔つきが良くなったと言われるし、自分でもそう感じる」
と言われることが多いのが実際です。
【主訴】20代女性: 顎のズレと受け口を治したくて3軒矯正歯科に相談しに行ったが3軒全てに「外科手術しないと治らない難しい症例」と言われ当医院に来院。外科手術しないで出来るだけ治したい。
【治療方法】新素材ゴムメタルを使用したGEAW(ギア)システム用い、外科手術も小臼歯抜歯もしないで治療を行いました。
【治療期間】約3年
【治療後】思ったより仕上がりが綺麗で満足との言葉を頂きました。
【治療費用】診査・診断およびリテーナー(後戻り防止装置)も入れて:約120万円
【治療に伴うリスク】1日20時間以上顎間ゴムの使用などの患者さんの協力が必要です。 歯の移動に伴う痛みや口内炎などがあります。 矯正期間中は虫歯、歯周病のリスクが高くなります。歯の移動に伴う歯肉退縮や歯根吸収が起こる事があります。
※症例は当医院の一例です。治療内容には個人差がありますので詳しくはご相談ください。
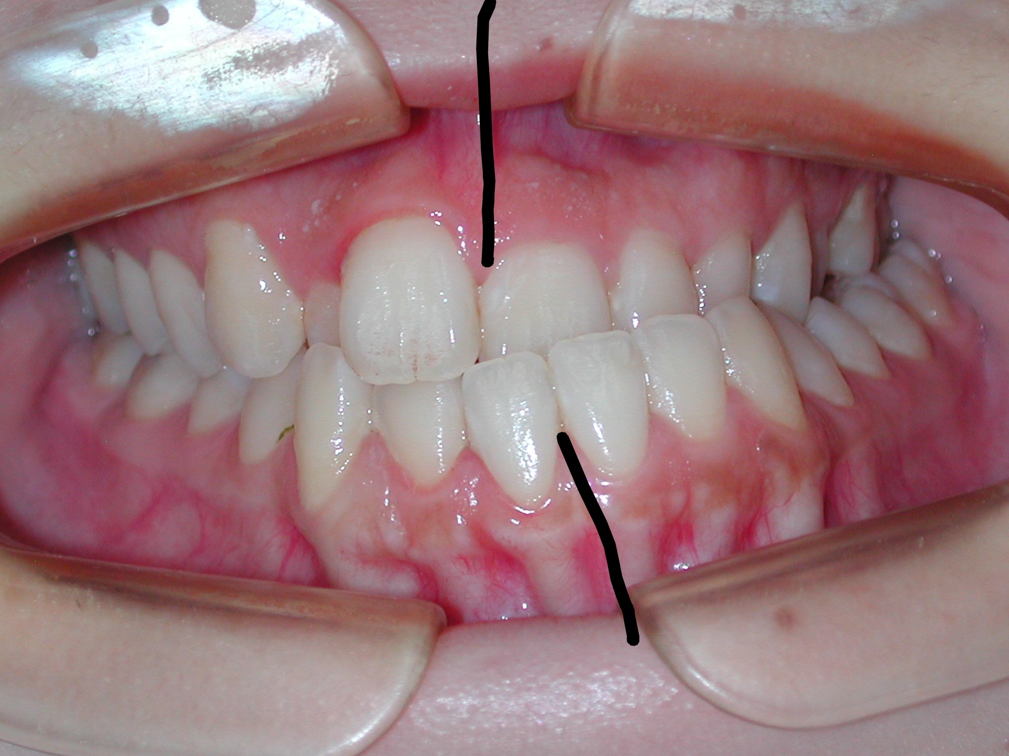
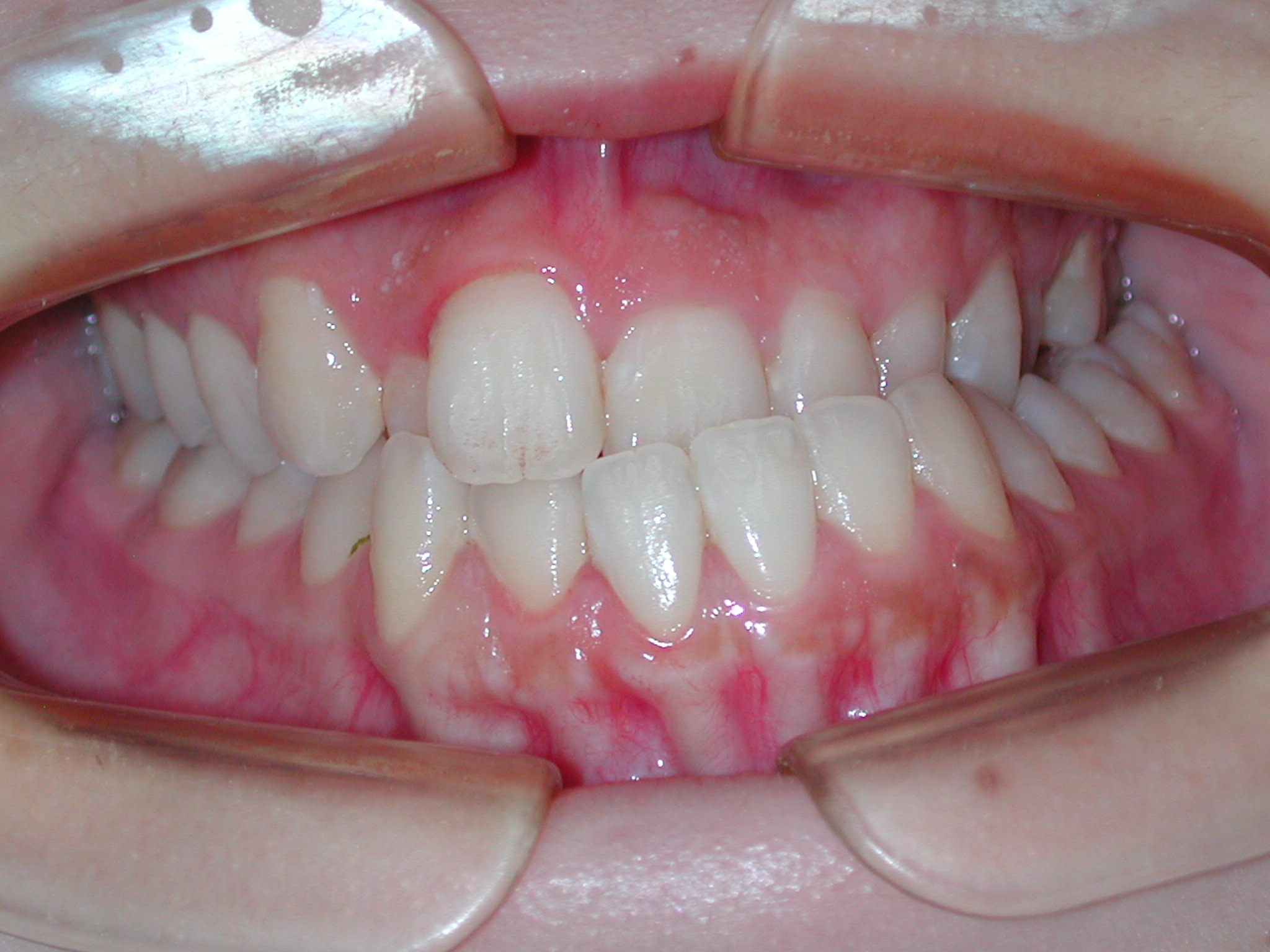
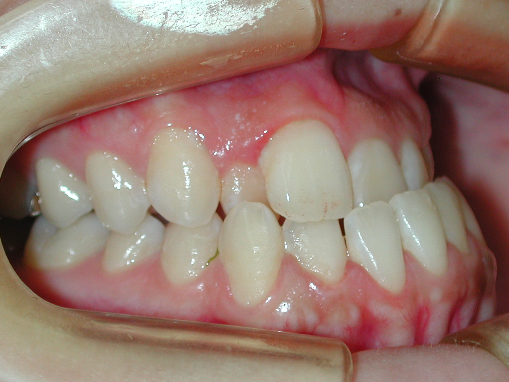
【矯正前】
顎が左に大きくずれていて、確かに普通なら外科手術が必要なケースです。
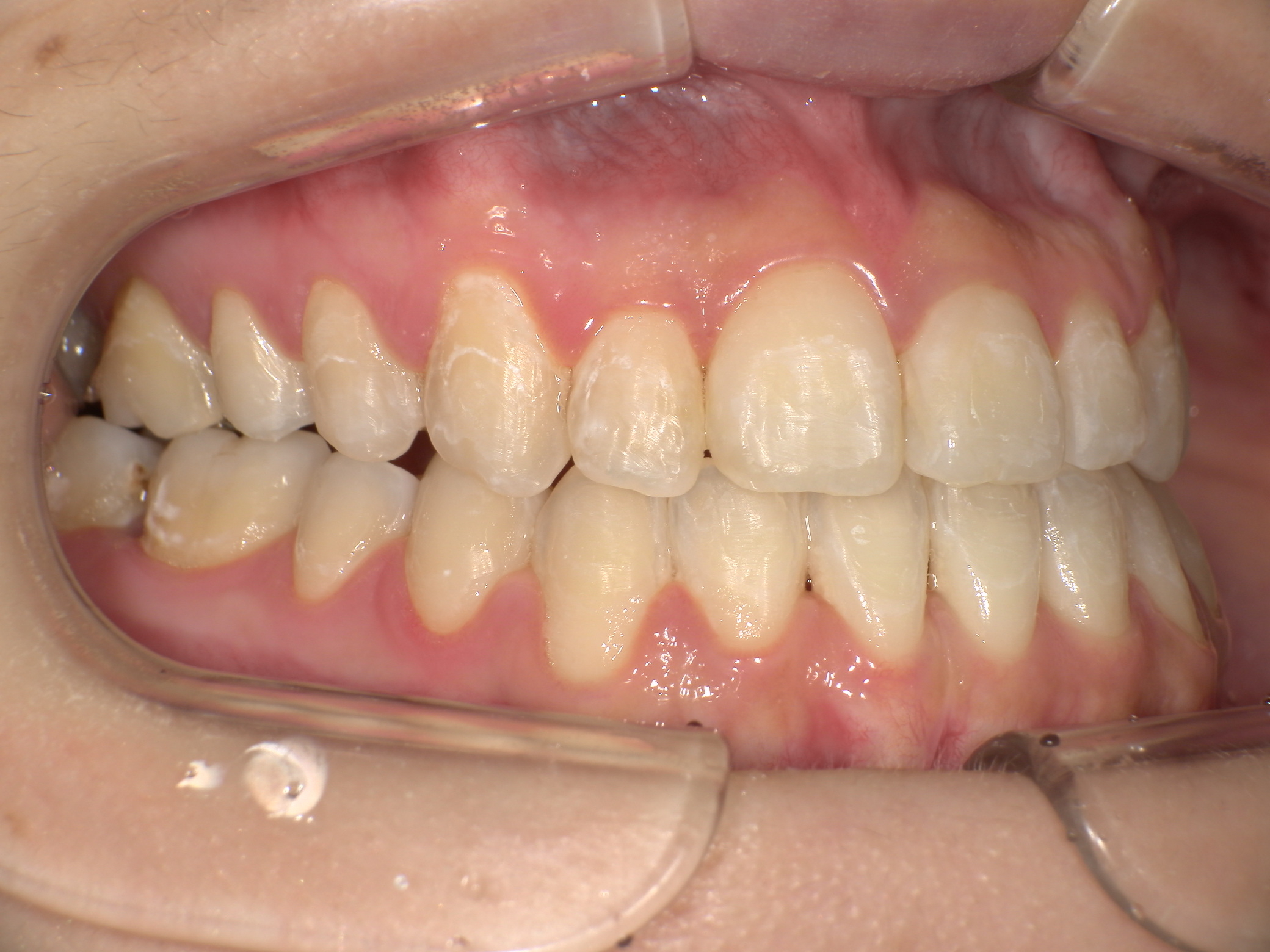
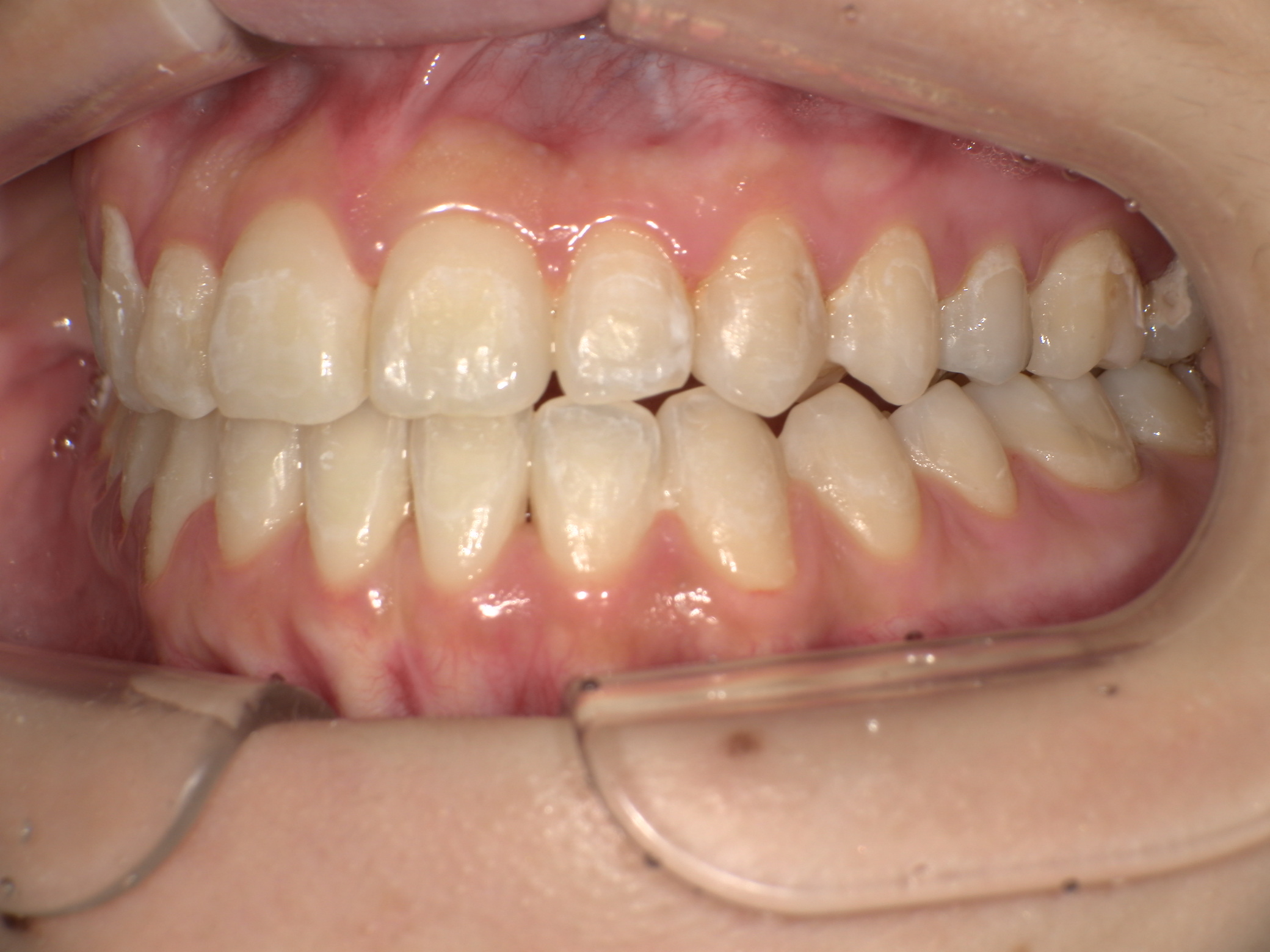
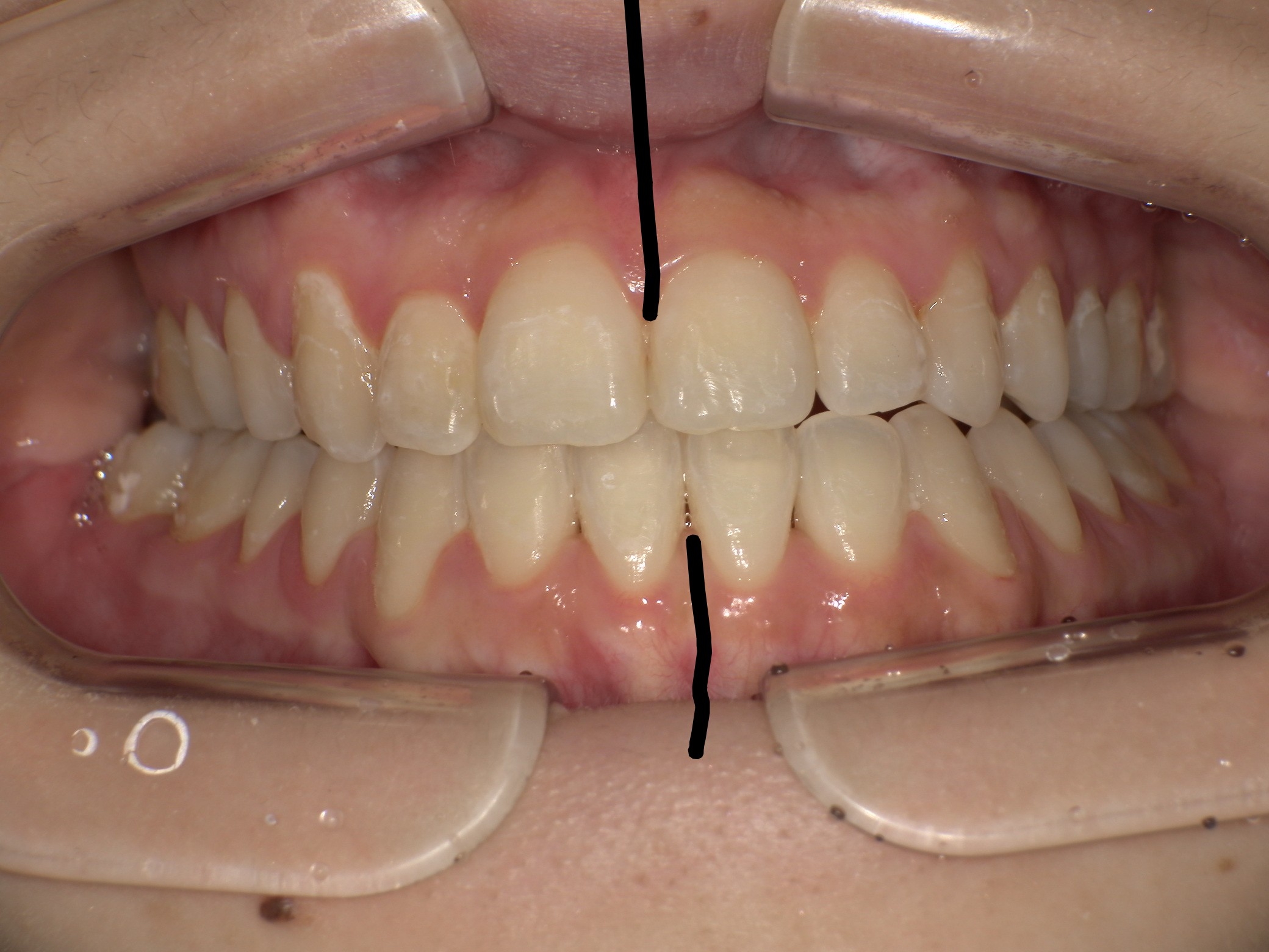
【矯正後】
上下の真ん中がドンピシャ!とはいきませんでしたが、外科手術も抜歯もしなかったケースとしては十分合格点ではないでしょうか?
*開咬(オープンバイト)でお悩みの方、
*他医院や大学病院で第一小臼歯抜歯が必要と言われた方、
*他医院や大学病院で外科手術が必要と言われた重度の受け口の方、顎変形症の方、
*他医院や大学病院で難しいと言われた難症例の方、
*マウスピース矯正では治らなかった方、
まずは一度ご相談ください。
東京都目黒区祐天寺 アクアデンタルクリニック TEL 03-3713-4443





