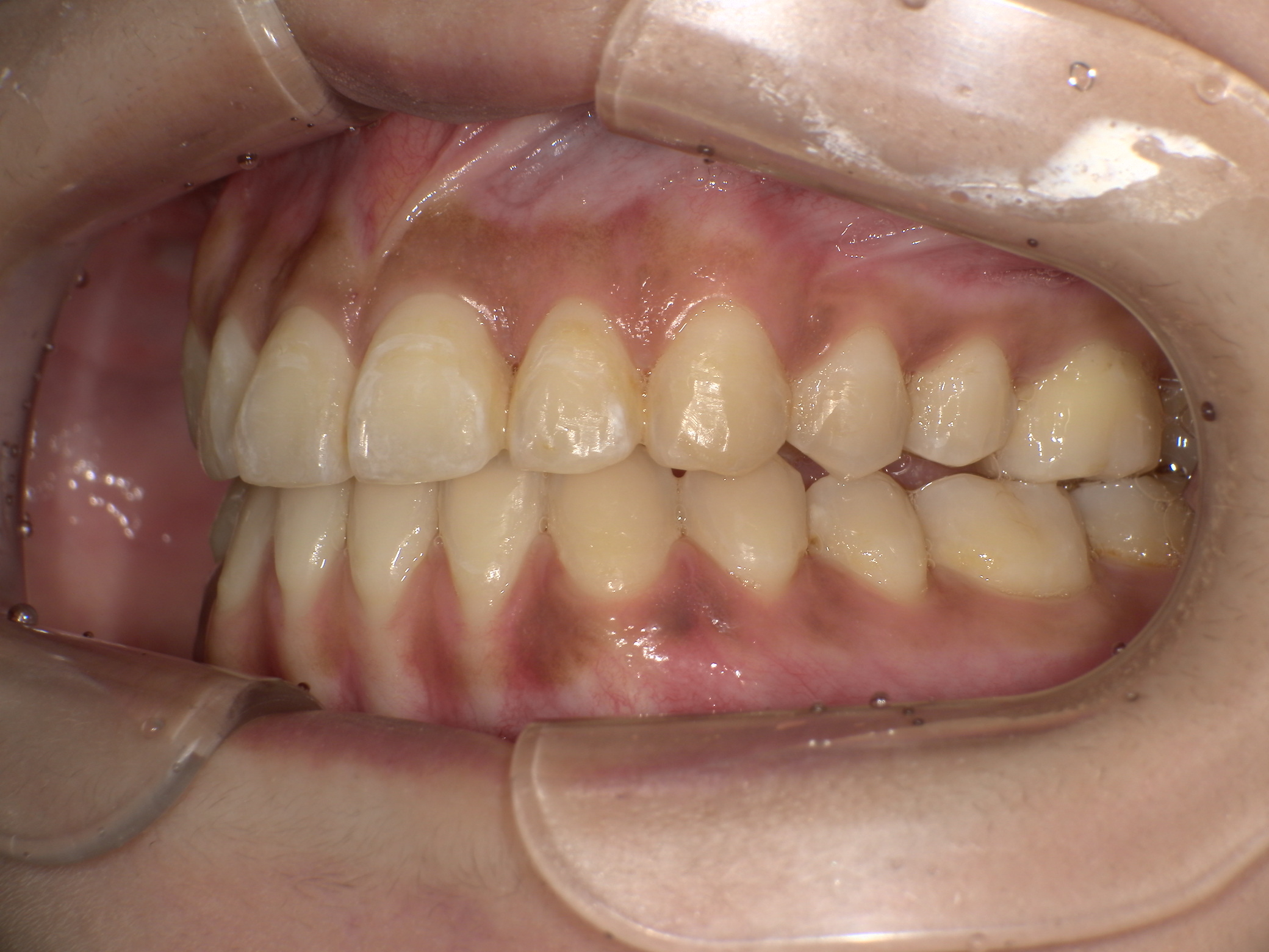
【矯正前】
【主訴】小学生の時途中まで矯正治療をしていたが、最近になって前歯で物が噛めない、噛み合わせの悪さを治したいと大学病院を受診したが、重度の開咬(オープンバイト)のため外科手術が必要と言われた。手術無しで出来る範囲内で治療したい。とのことで当院を受診された20代の女性。
【治療方法】新素材ゴムメタルを使用したGEAW(ギア)システム用い、外科手術も小臼歯抜歯しないで治療を行いました。
【治療期間】1年9か月
【治療後】前歯で噛めるようになり、全体的に咬み合わせも良くなったのでとても満足との言葉をご本人より頂きました。
【治療費用】診査・診断およびリテーナー(後戻り防止装置)も入れて:約115万円
【治療に伴うリスク】1日20時間以上顎間ゴムなどの患者さんの協力が必要です。 歯の移動に伴う痛みや口内炎などがあります。 矯正期間中は虫歯、歯周病のリスクが高くなります。歯の移動に伴う歯肉退縮や歯根吸収が起こる事があります。
【矯正後】
元々下顎前歯1歯欠損のため正中は揃いませんでしたが機能的にはもちろん、見た目も気にならないとのことです
*開咬(オープンバイト)でお悩みの方、
*他医院や大学病院で第一小臼歯抜歯が必要と言われた方、
*他医院や大学病院で外科手術が必要と言われた重度の受け口の方、
*他医院や大学病院で難しいと言われた難症例の方、
まずは一度ご相談ください。
東京都目黒区祐天寺 アクアデンタルクリニック TEL 03-3713-4443





